«Գրանցված է»
ՀՀ արդարադատության
նախարարության կողմից
23 փետրվարի 2015 թ.
Պետական գրանցման թիվ 10015058
|
ՀԱՅԱՍՏԱՆԻ ՀԱՆՐԱՊԵՏՈՒԹՅԱՆ ԱՌՈՂՋԱՊԱՀՈՒԹՅԱՆ ՆԱԽԱՐԱՐ
ք. Երևան |
ՀԱՅԱՍՏԱՆԻ ՀԱՆՐԱՊԵՏՈՒԹՅԱՆ ՏԱՐԱԾՔԱՅԻՆ ԿԱՌԱՎԱՐՄԱՆ ԵՎ ԱՐՏԱԿԱՐԳ ԻՐԱՎԻՃԱԿՆԵՐԻ ՆԱԽԱՐԱՐ
30 հունվարի 2015 թ. N 1-Ն ք. Երևան |
ՀԱՅԱՍՏԱՆԻ ՀԱՆՐԱՊԵՏՈՒԹՅԱՆ ԳՅՈՒՂԱՏՆՏԵՍՈՒԹՅԱՆ ՆԱԽԱՐԱՐ
26 դեկտեմբերի 2014 թ. N 266-Ն ք. Երևան |
ՀԱՅԱՍՏԱՆԻ ՀԱՆՐԱՊԵՏՈՒԹՅԱՆ ԲՆԱՊԱՀՊԱՆՈՒԹՅԱՆ ՆԱԽԱՐԱՐ
30 դեկտեմբերի 2014 թ. N 415-Ն ք. Երևան |
Հ Ա Մ Ա Տ Ե Ղ Հ Ր Ա Մ Ա Ն
ԱԶԳԱՅԻՆ ՀԱՄԱԿԱՐԳՈՂ ՄԱՐՄՆԻ ԵՎ ՀԱՅԱՍՏԱՆԻ ՀԱՆՐԱՊԵՏՈՒԹՅԱՆ ԳՅՈՒՂԱՏՆՏԵՍՈՒԹՅԱՆ, ՏԱՐԱԾՔԱՅԻՆ ԿԱՌԱՎԱՐՄԱՆ ԵՎ ԱՐՏԱԿԱՐԳ ԻՐԱՎԻՃԱԿՆԵՐԻ, ԲՆԱՊԱՀՊԱՆՈՒԹՅԱՆ ՆԱԽԱՐԱՐՈՒԹՅՈՒՆՆԵՐԻ ՄԻՋԵՎ ՀԱՄԱԳՈՐԾԱԿՑՈՒԹՅԱՆ ՄԵԽԱՆԻԶՄՆԵՐՆ ԱՊԱՀՈՎՈՂ, ԳՈՐԾԸՆԹԱՑՆԵՐԸ ՍԱՀՄԱՆՈՂ ՍՏԱՆԴԱՐՏ ԸՆԹԱՑԱԿԱՐԳԸ ՀԱՍՏԱՏԵԼՈՒ ՄԱՍԻՆ
Հիմք ընդունելով «Իրավական ակտերի մասին» Հայաստանի Հանրապետության օրենքի 19-րդ հոդվածի 2-րդ մասի, Հայաստանի Հանրապետության կառավարության 2010 թվականի օգոստոսի 26-ի N 1138-Ն որոշման 2-րդ կետի, 4-րդ ենթակետի և Հայաստանի Հանրապետության կառավարության 2013 թվականի հունվարի 31-ի N 4 արձանագրային որոշման Հավելված 2-ի 1-ին կետի 2-րդ ենթակետի պահանջները.
ՀՐԱՄԱՅՈՒՄ ԵՆՔ՝
Հաստատել` «Ազգային համակարգող մարմնի և Հայաստանի Հանրապետության գյուղատնտեսության, տարածքային կառավարման և արտակարգ իրավիճակների, բնապահպանության նախարարությունների միջև համագործակցության մեխանիզմներն ապահովող գործընթացները սահմանող» գործունեության ստանդարտ ընթացակարգը` համաձայն հավելվածի:
|
ՀՀ առողջապահության նախարար |
ՀՀ տարածքային կառավարման և արտակարգ իրավիճակների նախարար |
ՀՀ գյուղատնտեսության նախարար |
ՀՀ բնապահպանության նախարար |
|
Հավելված
ՀՀ առողջապահության նախարարի 17 դեկտեմբերի 2014 թ. թիվ 71-Ն |
|
ՀՀ գյուղատնտեսության նախարարի 26 դեկտեմբերի 2014 թ. թիվ 266-Ն |
|
ՀՀ տարածքային կառավարման և արտակարգ իրավիճակների նախարարի 30 հունվարի 2015 թ. թիվ 1-Ն |
|
|
ՀՀ բնապահպանության նախարարի 30 դեկտեմբերի 2014 թ. թիվ 415-Ն համատեղ հրաման |
|
ԸՆԹԱՑԱԿԱՐԳ |
|
ԱԶԳԱՅԻՆ ՀԱՄԱԿԱՐԳՈՂ ՄԱՐՄՆԻ ԵՎ ԳՅՈՒՂԱՏՆՏԵՍՈՒԹՅԱՆ, ՏԱՐԱԾՔԱՅԻՆ ԿԱՌԱՎԱՐՄԱՆ ԵՎ ԱՐՏԱԿԱՐԳ ԻՐԱՎԻՃԱԿՆԵՐԻ, ԲՆԱՊԱՀՊԱՆՈՒԹՅԱՆ ՆԱԽԱՐԱՐՈՒԹՅՈՒՆՆԵՐԻ ՄԻՋԵՎ ՀԱՄԱԳՈՐԾԱԿՑՈՒԹՅԱՆ ՄԵԽԱՆԻԶՄՆԵՐՆ ԱՊԱՀՈՎՈՂ ԳՈՐԾԸՆԹԱՑՆԵՐԸ ՍԱՀՄԱՆՈՂ ՍՏԱՆԴԱՐՏ |
|
1. Սցենար N 1 |
Խոշոր եղջերավոր կենդանիների տարափոխիկ սպունգանման էնցեֆալոպաթիայի դեպքի սահմանմանը համապատասխանող, հետագա հյուսվածքաբանական հետազոտությունների համար, կենդանիներից նմուշառում |
|
2. Ձեռնարկվող միջոցառումներ |
1) Վերցնել գլխուղեղը կենտրոնական նյարդային համակարգի ախտահարման կլինիկական նշաններ ունեցող կենդանիներից՝ մահից կամ հարկադիր սպանդից անմիջապես հետո (բացառելու համար հյուսվածքների քայքայումը կամ ուղեկցող այլ վարակի միացումը) |
|
3. Անհրաժեշտ պարագաներ |
1) Հայաստանի Հանրապետության առողջապահության նախարարություն 2) Հայաստանի Հանրապետության գյուղատնտեսության նախարարություն 3) Հայաստանի Հանրապետության տարածքային կառավարման և արտակարգ իրավիճակների նախարարություն (ելնելով կոնկրետ իրավիճակից) 4) Հայաստանի Հանրապետության բնապահպանության նախարարություն (ելնելով կոնկրետ իրավիճակից) |
|
4. Մասնակիցներ |
1) Հայաստանի Հանրապետության առողջապահության նախարարության մասնագետներ |
|
5. Անհրաժեշտ պատրաստություններ |
1) Ապահովել Առողջապահության, Գյուղատնտեսության, Տարածքային կառավարման և արտակարգ իրավիճակների ու Բնապահպանության նախարարությունների միջև մշտական համագործակցություն` մարդկանց և կենդանիների համար ընդհանուր հիվանդության «հանրային առողջապահության ոլորտում միջազգային նշանակության արտակարգ իրավիճակ» առաջացնելու ներուժ ունեցող դեպքի կանխարգելման նպատակով |
|
6. Կենդանու մարմնից գլխուղեղի անջատման և ֆիքսման քայլ առ քայլ նկարագրություն |
1) Լրացնել դեպքի հաղորդման ձևը |
|
7. Այլ աշխատանքներ |
Որոշվում է սույն հրամանով հաստատված նախարարությունների մասնագետների ներկայացրած գնահատման արդյունքում |
|
8. Առանցքային գաղափարներ |
Խոշոր եղջերավոր կենդանիների տարափոխիկ սպունգանման էնցեֆալոպաթիայի դեպքի սահմանմանը համապատասխանող կենդանիների գլխուղեղը՝ հետագա հյուսվածքաբնական հետազոտությունների համար գլխուղեղն անջատված, ֆիքսված և տեղափոխված է |
Նկար 1. ԽԵԿ-ի գանգի սղոցման գծագիր
1) սղոցման գիծ 1 անցնում է ճակատային ոսկորով.
2) սղոցման գիծ 2 ակնափոսից դեպի լսողական անցուղու եզրային մաս.
3) սղոցման գիծ 3 անցնում է ճակատային և ծոծրակային ոսկրերի սագիտալ առանցքով՝ մինչև ծոծրակային մեծ բացվածք
Նկար 2. Գլխուղեղի կտրվածքների գծագիր
Ռոմբաձև ուղեղ
I – կտրվածք երկարավուն ուղեղի վերին բաժնի սահմանում.
II – կտրվածք ցողունային մասի՝ երկարավուն ուղեղ և վարոլյան կամրջի սահմանին.
III – կտրվածք վարոլյան կամրջի սահմանին՝ ուղեղիկի վերին ոտիկների սկզբնամասում.
Միջին ուղեղ
IV – կտրվածք քառաբլուրի մակարդակում՝ կարմիր կորիզների հայտնվելու սահմանին.
Միջանկյալ ուղեղ
V – կտրվածք էպիթալամուսի մակարդակում՝ III փորոք սիլվյան ծորանի բացման հատվածում.
VI – կտրվածք տեսաթմբի մակարդակում՝ էպիթելային բլուրների և դրանց հարող կորիզների հատվածում.
VII – կտրվածք հիպոթալամուսի սահմանում՝ ձագարի մակարդակում.
Վերջնային ուղեղ
VIII – կտրվածք կողմնային փորոքի սահմանում՝ պոչավոր կորիզի մակարդակում.
IX , Х– կտրվածքներ ուղեղի կիսագնդերի իրանի, կրծքային և կոնքային վերջույթների շարժիչ դաշտերի հատվածում:
|
1. Սցենար N 2 |
Խոշոր եղջերավոր կենդանիների տարափոխիկ սպունգանման էնցեֆալոպաթիայի դեպքի սահմանմանը համապատասխանող կենդանիների գլխուղեղի մանրադիտակային հետազոտում |
|
2. Ձեռնարկվող միջոցառումներ |
1) Խոշոր եղջերավոր կենդանիների տարափոխիկ սպունգանման էնցեֆալոպաթիայի դեպքի սահմանմանը համապատասխանող կենդանիների ֆիքսված գլխուղեղի տարբեր բաժինների նմուշառում |
|
3. Անհրաժեշտ պարագաներ |
1) Անձնակազմի համար անհատական պաշտպանիչ միջոցներ (անջրաթափանց խալաթ, ռետինե գոգնոց, անջրաթափանց գլխարկ, անատոմիական ձեռնոցներ, օրգանական ապակուց դիմային վահանակ կամ պաշտպանական ակնոց) |
|
4. Մասնակիցներ |
1) Հայաստանի Հանրապետության առողջապահության նախարարության մասնագետներ |
|
5. Անհրաժեշտ պատրաստություններ |
1) Տեղեկացնել հյուսվածքաբանական լաբորատորիայի ղեկավարին/պատասխանատուին նախաձեռնվող միջոցառումների վերաբերյալ |
|
6. Գլխուղեղի տարբեր բաժիններից հյուսվածքաբանական պատրաստուկներ պատրաստելու քայլ առ քայլ նկարագրություն |
1) Վերցնել ամրագրված ուղեղի տարբեր հատվածներից 0,5-1սմ հաստությամբ թիթեղների ձևով կտորներ |
|
7. Այլ աշխատանքներ |
Անհրաժեշտության դեպքում կատարվում է ստացված հյուսվածք շերտիկների ներկում այլ եղանակներով՝ յուրահատուկ բնորոշ ամիլոիդային կուտակումներ հայտնաբերելու համար |
|
8. Առանցքային գաղափարներ |
Խոշոր եղջերավոր կենդանիների տարափոխիկ սպունգանման էնցեֆալոպաթիայի դեպքի սահմանմանը համապատասխանող կենդանիների գլխուղեղի տարբեր բաժիններից, մանրադիտակային հետազոտությունների համար, հյուսվածքաբանական պատրաստուկները պատրաստված և ներկված են |
Մեկնաբանություններ՝
1. Հյուսվածքների ԱՏ-4 կամ ԱՏ-5 ավտոմատ մշակման սարքերի բացակայության դեպքում կիրառվում է կրճատված սխեման՝ յուրաքանչյուր ռեագենտում կտորները պահվում են 6-12 ժամ, որի արդյունքում երկարում է գործընթացը մինչև 3-5 օր:
2. Բնորոշ ախտաբանական փոփոխությունները ԽԵԿ-ի ՏՍԷ-ի ժամանակ հետևյալն են՝
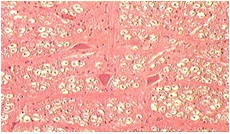
1) նեյրոգլիայի տարածուն վակուոլիզացիա և տարրալուծում (նման են տարբեր չափերի և ձևերի դատարկությունների) (նկար 1, 2)
նկար 1. նեյրոգլիայի տարածուն վակուոլիզացիա և
տարրալուծում (նման են տարբեր չափերի
և ձևերի դատարկ տարածքների)
Նկար 2. նեյրոգլիայի տարածուն վակուոլիզացիա և
տարրալուծում (նման են տարբեր չափերի
և ձևերի դատարկ տարածքների)
2) ցիտոպլազմայի կոագուլյացիա, որն արտահայտվում է բարձր օքսիֆիլությամբ կարմիր գույնի պինդ մակարդուկի ձևով.
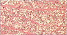
3) նյարդային բջիջների կորիզի կնճռոտում, մասնատում և մասնակի քայքայում, ցիտոպլազմայում բազմաթիվ մանր վակուոլներ (նկար 3).
Նկար 3. նյարդային բջիջների կորիզի կնճռոտում, մասնատում և մասնակի
քայքայում, ցիտոպլազմայում բազմաթիվ մանր վակուոլներ
4) արյունատար անոթների էնդոթելի գերաճ՝ կորիզների կնճռոտումով և մասնատումով.
5) հարանոթային կլորբջջային աստրոցիտների և մակրոֆագային տարրերի առկայություն՝ նման ոչ թարախային էնցեֆալիտի.
6) նյարդային բջիջների վակուոլիզացիա.
7) նյարդային բջիջների շուրջ այտուցի և վակուոլային օղակի առկայություն:
Աղյուսակ
Հյուսվածքաբանական հետազոտության համար անհրաժեշտ սպիրտային լուծույթների տարբեր նոսրացումների պատրաստում
|
100 մլ սպիրտ ստանալու համար |
Բաղադրիչների անհրաժեշտ քանակություն, մլ | |||||
|
960 սպիրտ |
ջուր |
960 սպիրտ |
ջուր |
960 սպիրտ |
ջուր | |
|
500 սպիրտային լուծույթ |
52 |
48 |
44 |
56 |
50 |
50 |
|
600 սպիրտային լուծույթ |
63 |
37 |
50 |
50 |
56 |
44 |
|
700մ սպիրտային լուծույթ |
73 |
27 |
56 |
44 |
63 |
37 |
|
750 սպիրտային լուծույթ |
78 |
22 |
83 |
17 |
94 |
6 |
|
800 սպիրտային լուծույթ |
83 |
17 |
89 |
11 |
- |
- |
|
900 սպիրտային լուծույթ |
94 |
6 |
- |
- |
- |
- |